En Clínica Dental Trejo nos enorgullecemos de cada sonrisa recuperada. En esta sección te mostramos casos reales de pacientes que han mejorado su salud y estética dental con nuestros tratamientos personalizados.

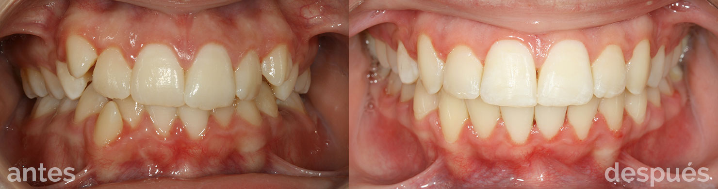
Paciente de 13 años
Tratamiento con brackets metálicos convencionales durante 15 meses.

Paciente de 15 años
Tratamiento con Barra Transpalatina y brackets metálicos convencionales durante 24 meses.

Paciente de 13 años
Tratamiento con brackets metálicos Damon durante 20 meses.

Paciente de 15 años
Tratamiento con brackets estéticos Damon durante 20 meses.

Paciente de 27 años
Tratamiento con brackets metálicos convencionales durante 23 meses.

Paciente de 39 años
Tratamiento con Invisalign durante 10 meses.

Paciente de 45 años
Tratamiento con brackets metálicos convencionales durante 22 meses.

Paciente de 28 años
Tratamiento con brackets estéticos de zafiro durante 22 meses y reconstrucciones en dientes anteriores.
Nuestro equipo de especialistas está listo para brindarte el mejor cuidado dental en un ambiente cómodo y profesional. ¿Listo para comenzar?
Somos especialistas en estética dental. Desde 1999, hemos evolucionado para enfocarnos en tratamientos que mejoran la salud y belleza de tu sonrisa.
© 2025, Clínica Dental Trejo, Diseñado por Karma Agencia